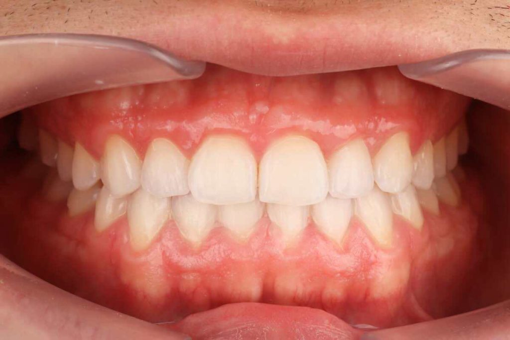
Mordida cruzada

Detalle del paciente

Edad: 22 años

Género: Hombre

Motivo principal de consulta: Apiñamiento en el arco superior e inferior.

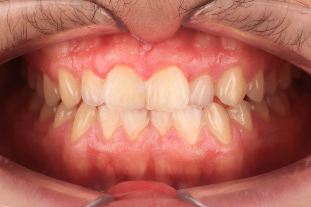
Oclusión: Clase I con mordida cruzada anterior

Ortodoncista: Dr. Miguel Teixeira

Diagnóstico

  • Clase I con mordida cruzada en los incisivos laterales.
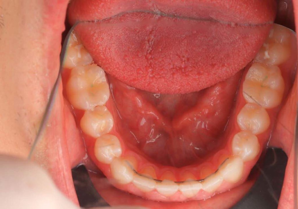
  • Apiñamiento moderado en el arco superior e inferior.
  • Desplazamiento de la línea media superior.
  • Arco normal con necesidad de expansión.

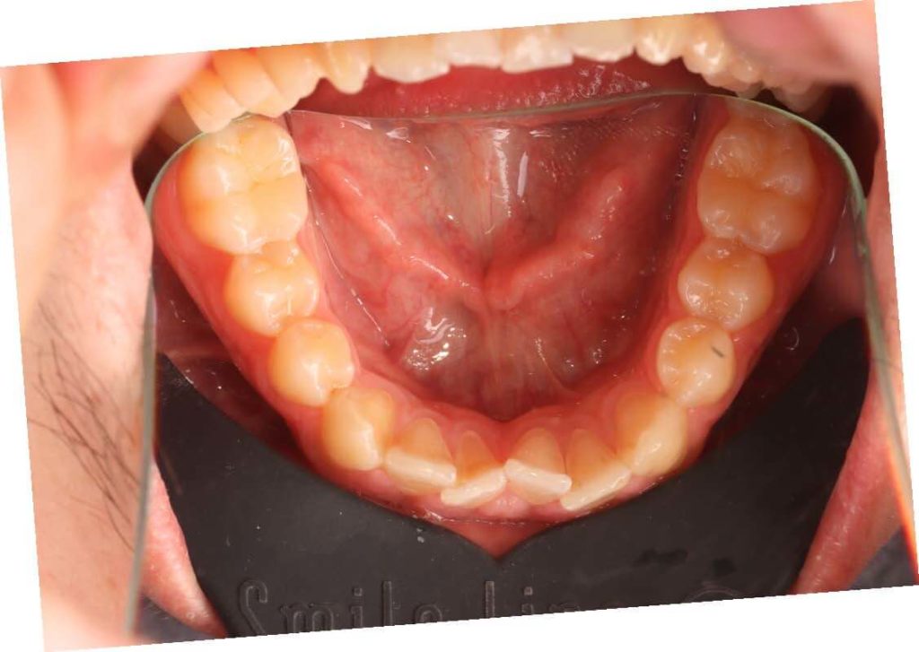
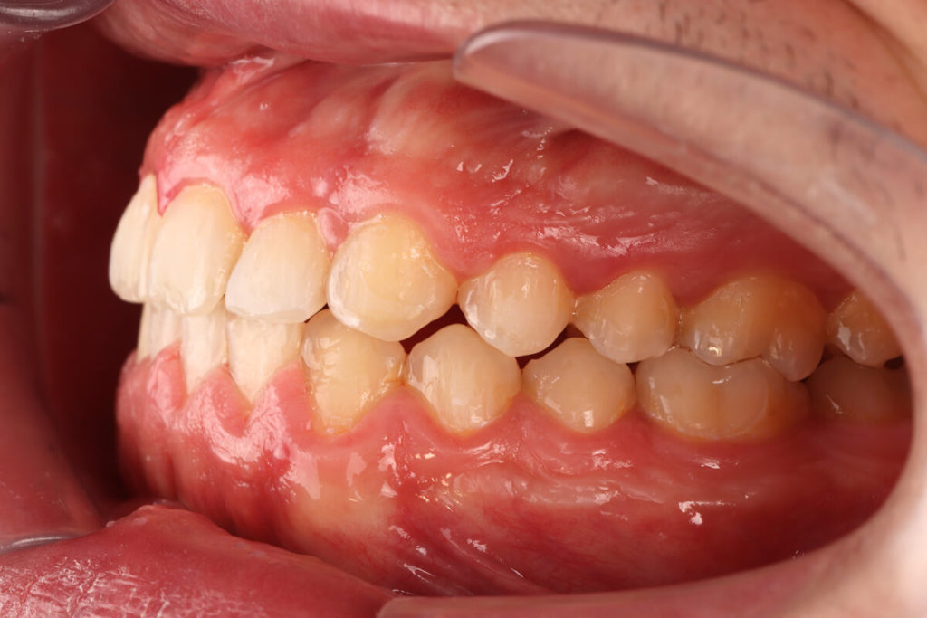
SITUACIÓN INICIAL

CLASE I MORDIDA CRUZADA EN LATERALES

Se inicia tratamiento con alineadores invisibles – CLARA

El paciente comenzó a utilizar alineadores invisibles para tratar un problema de mordida cruzada anterior y lograr una alineación adecuada de la dentición superior e inferior. El caso comenzó con una planificación inicial, que resolvió aproximadamente el 75 % del tratamiento.

REFINAMIENTO

Posteriormente, se llevó a cabo una fase de refinamiento de dos meses. La mordida cruzada quedó prácticamente resuelta, pero también tuvimos que realizar movimientos axiales de los incisivos superiores, alinearlos, mejorando también un poco la expansión y la forma del arco. Con tan solo dos meses más de tratamiento.

PLANIFICACIÓN DEL TRATAMIENTO

6 meses

  • Configuración inicial resolviendo el 75% del tratamiento.

3 semanas

  • Mes adicional para el intervalo entre el envío del alineador y la ejecución del plan de tratamiento.

2 meses

  • Fase de refinamiento.

1 mes

  • Último mes para el blanqueamiento y las restauraciones directas en el 12 y el 22 y retención final.

Número de alineadores

  • Superior: 12 alineadores (1ª fase) y 4 alineadores (fase de refinamiento)
  • Inferior: 12 alineadores (1ª fase) y 4 alineadores (fase de refinamiento)

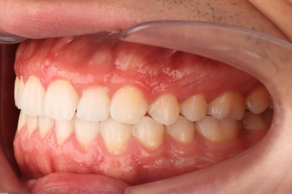
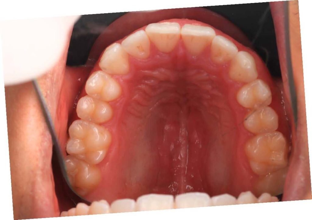
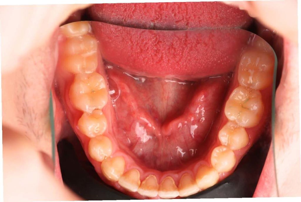
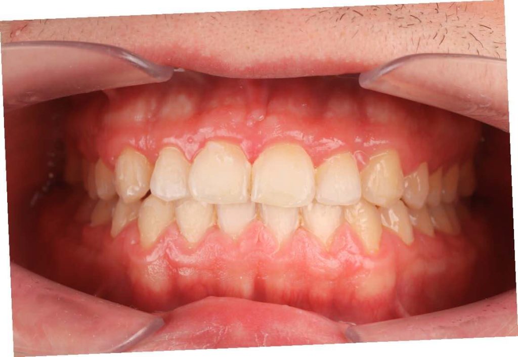
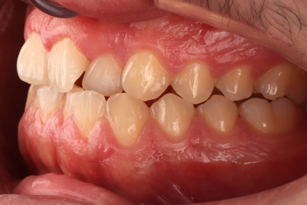
SITUACIÓN FINAL

Resultados y conclusiones

Se resuelve el apiñamiento, la relación entre los caninos y los molares de clase I, y se estabilizan el overjet y el overbite. Corrección del desplazamiento de la línea media. En el paso final se realizó un blanqueamiento y restauraciones directas en los dientes 12 y 22 .

Colocamos retención fija en el maxilar inferior y retenciones removibles tanto en superior como en inferior.

CLARA
Resumen de privacidad

Esta web utiliza cookies para que podamos ofrecerte la mejor experiencia de usuario posible. La información de las cookies se almacena en tu navegador y realiza funciones tales como reconocerte cuando vuelves a nuestra web o ayudar a nuestro equipo a comprender qué secciones de la web encuentras más interesantes y útiles.